Diş Sağlığı

Ağız sağlığınıza ve gülüş estetiğinize bağlılık

Müşteri memnuniyeti başarımızdır

Hemen Randevu Al
Randevu
10.000 vaka

Profesyonel Diş Bakım Hizmetleri

Modern teknoloji ve özenle uzman diş tedavileri.

Daha Fazla
Hakkımızda
Teknolojinin gücüne inanıyoruz

Yüksek Teknoloji Kliniği

Hastalarımıza en son teknolojilerle donatılmış kliniğimizde hizmet veriyoruz.

Daha Fazla
Hakkımızda
Sadece İstanbul Havalimanına uçun

Kolay Yolculuk

Gerisini biz planlıyoruz. Dilerseniz tüm konaklamanızı sizin için planlayalım.

Daha Fazla
Hakkımızda
Randevu

Randevunuzu Alın

Hizmetlerimiz

Uzmanlık Alanlarımız ve Hizmetlerimiz

Yüksek kaliteli ve deneyimli sağlık profesyonelleriyle hizmet vermekten gurur duyuyoruz. Çözümlerimiz sizin özel ihtiyaçlarınıza göre tasarlanmıştır.

İmplant

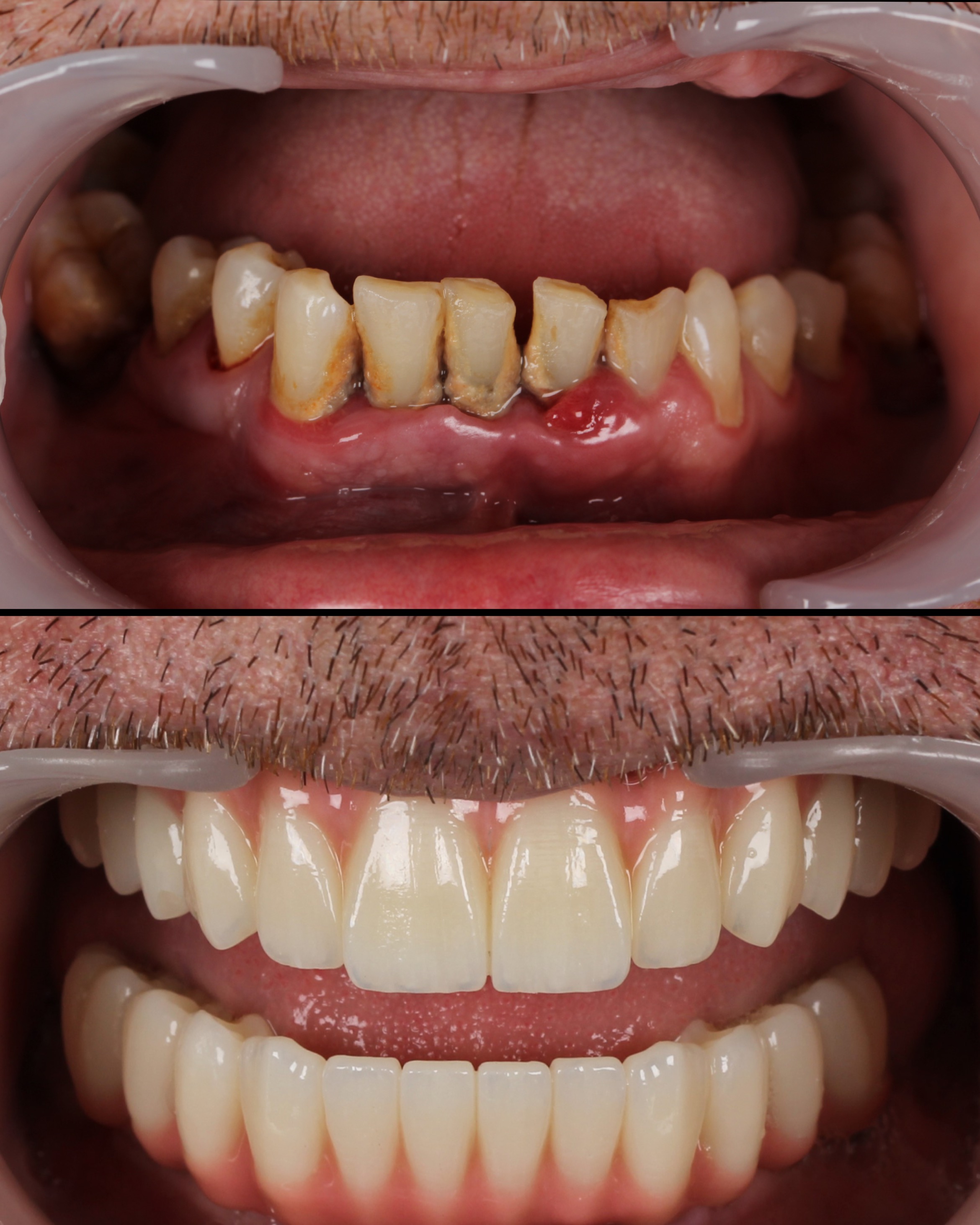
İmplant tedavisi, kaybedilmiş dişlerin yerine kalıcı, dayanıklı ve doğal görünümlü çözümler sunan modern bir diş hekimliği uygulamasıdır. Tek dişten tüm ağıza kadar uygulanabilen implantlar, çene kemiğine genelllikle titanyumdan üretilmiş vidalar aracılığıyla yerleştirilir ve zamanla kemikle bütünleşerek sağlam bir temel oluşturur. Bu sayede hem estetik hem de fonksiyonel açıdan doğal dişlerin performansı sağlanır.

Gülüş Tasarımı

Gülüş tasarımı, dişlerinizin, dudaklarınızın ve yüz hatlarınızın uyumunu dikkate alarak size özel yapılan estetik bir uygulamadır. Amaç, sadece güzel bir gülüş yaratmak değil; aynı zamanda doğal ve sağlıklı bir görünüm sağlamaktır.

Lamina Tedavisi

Lamina tedavisi, gülüş estetiğini ön plana çıkaran modern ve zarif bir diş estetiği uygulamasıdır. Dişlerin yalnızca ön yüzeyine uygulanan ince porselen kaplamalar sayesinde, dişlerin rengi, formu ve dizilimi estetik bir uyum içinde yeniden şekillendirilir. Doğal diş dokusu büyük ölçüde korunurken, ışığı geçiren yapısı sayesinde lamina kaplamalar gerçek diş görünümüne son derece yakın bir sonuç sunar.

Dental Crowns

One of the techniques that we use frequently in smile design is full ceramic crowns.

Diş Beyazlatma

Diş beyazlatma, estetiği ve sofistike görünümü ön plana çıkaran seçkin bir uygulamadır. Çeşitli sebeplerden dolayı oluşan renklenmeler, uzman denetiminde gerçekleştirilen kontrollü bir süreçle açılır; dişler doğal parlaklığını ve canlılığını yeniden kazanır. Bu işlem, sadece beyazlık sağlamakla kalmaz, gülüşünüzü zarif ve etkileyici bir biçimde dönüştürür.

Zirkonyum

Zirkonyum kaplama, ileri malzeme teknolojisi ile estetik diş hekimliğinin rafine yaklaşımını bir araya getiren ayrıcalıklı bir uygulamadır. Metal içermeyen yapısı sayesinde diş etleriyle kusursuz bir uyum sağlarken, doğal ışık yansıtma özelliği gülüşe derinlik ve canlılık kazandırır. Estetik görünüm, sağlamlıkla dengelenerek uzun ömürlü bir çözüm sunar.

Bonding

Bonding tedavisi, dişlerinizdeki küçük kusurları hızla ve estetik bir şekilde düzeltmeyi sağlayan modern bir uygulamadır. Özel kompozit materyaller, diş yüzeyine özenle uygulanarak doğal diş rengi ve dokusuyla uyum sağlar. Çatlaklar, kırıklar, boşluklar veya hafif renk farklılıkları gibi durumlar kısa sürede giderilir ve dişleriniz estetik bir bütünlük kazanır.

Diş Eti Estetiği

Diş eti estetiği, gülüşünüzü simetri ve zarafetle buluşturan seçkin bir uygulamadır. Fazla veya düzensiz diş eti dokusu, dişlerinizin doğal formunu gölgede bırakabilir; estetik diş eti şekillendirme ile bu dokular titizlikle yeniden düzenlenir ve gülüşünüz dengeli, sofistike bir görünüm kazanır.

Ortadonti

Ortodonti, dişlerin ve çenenin doğru pozisyonlara getirilmesini sağlayan özel bir diş hekimliği dalıdır. Eğri, aralıklı veya çapraşık dişler ile kapanış bozuklukları, hem estetik görünümü hem de çiğneme fonksiyonunu etkileyebilir. Ortodonti tedavisi, bu sorunları ortadan kaldırarak gülüşünüzü denge ve uyum içinde yeniden şekillendirir.

Şeffaf Plak

Şeffaf plaklar, dişlerinizi düzeltmenin estetik ve modern yoludur. Neredeyse görünmez tasarımı sayesinde günlük yaşamınızı etkilemeden, metal teller olmadan dişlerinizin doğru hizalanmasını sağlar.

Tel Tedavisi

Tel tedavisi, dişlerin doğru hizalanmasını sağlayarak hem estetik hem de fonksiyonel bir gülüş kazanmanıza yardımcı olur. Dişlerin düzensizliği yalnızca görüntüyü etkilemekle kalmaz; çiğneme, konuşma ve ağız sağlığını da doğrudan etkiler. Tel tedavisi, bu sorunları ortadan kaldırırken sağlıklı bir diş yapısı oluşturur.

Şeffaf Teller

Şeffaf Tel tedavisi, dişlerinizin doğru hizalanmasını sağlayarak hem estetik hem de fonksiyonel bir gülüş sunarken şeffaf tel ve braketler sayesinde daha az görünür kılar. Her tedavi, sizin diş yapınıza ve estetik hedeflerinize özel olarak planlanır; modern ortodontik teknikler ve dijital planlama ile süreç kontrollü ve güvenli bir şekilde ilerler.

Kanal Tedavisi

Kanal tedavisi, dişinizin iç yapısında oluşan hasarlı doku veya enfeksiyonu temizleyerek, dişinizi kaybetmeden sağlıklı bir şekilde fonksiyon görmesini sağlayan güvenli ve etkili bir yöntemdir. Modern teknikler ve hassas dijital görüntüleme sistemleriyle tedavi süreci konforlu, kontrollü ve güvenli bir şekilde yürütülür.

Diş Eti Tedavisi

Diş eti tedavisi (Periodontoloji), diş etlerinizin sağlığını koruyarak hem estetik hem de fonksiyonel bir ağız yapısı sağlamayı hedefler. Erken dönemde müdahale edilen diş eti sorunları, diş kaybı riskini azaltır ve ağız sağlığınızı uzun vadede korur.

Pedodonti

Çocuk diş tedavisi (Pedodonti), 0–12 yaş arası çocukların ağız ve diş sağlığını korumak, gelişimlerini takip etmek ve olası sorunları önlemek için özel olarak tasarlanmış bir tedavi alanıdır. Her çocuk için kişiye özel planlanan tedavi süreci, güvenli ve konforlu bir deneyim sunarken, diş çürükleri, diş eti problemleri ve dizilim bozukluklarının önlenmesine yardımcı olur.

Estetik Dolgu

Estetik dolgular (Restoratif Diş Tedavisi), dişlerinizdeki çürük, kırık veya renk farklılıklarını gidererek hem sağlıklı hem de doğal bir gülüş sunan modern bir tedavi yöntemidir. Her tedavi, diş yapınıza ve estetik beklentilerinize özel olarak planlanır ve uzun ömürlü, dayanıklı sonuçlar elde edilmesini sağlar.

Diş Çekimi

Diş çekimi, ağız sağlığını tehdit eden ve tedaviyle korunması mümkün olmayan dişlerin güvenli bir şekilde ağızdan uzaklaştırılması işlemidir. İleri derecede çürükler, ciddi diş eti problemleri, enfeksiyonlar veya gömülü dişler bu işlemi gerekli kılabilir. Kliniğimizde diş çekimi, hastanın konforu ön planda tutularak ve modern teknikler kullanılarak gerçekleştirilir.

En son çözümler ve yılların deneyimi. Tüm Hizmetleri Gör

Diş Sağlığı

Ağız sağlığınıza ve gülüş estetiğinize bağlılık

Çalışma Saatleri

  • Pazartesi – Cuma 09:00 – 19:00
  • Cumartesi 09:00 – 15:00
  • Pazar Kapalı

15 +

Yüksek Uzmanlaşmış Doktor ve Hemşireler

98 %

Müşteri memnuniyeti başarımızdır

10000 +

Başarılı tedavi tamamlandı

25 +

Diş hekimliğinde yıllık deneyim

Ekibimiz

Uzman ekibimizle en iyi kapasitemiz

Randevu Al

Sağlıklı bir gülüş için hemen bizi arayın!

Güncel Haberler

Faydalı bilgiler içeren makaleler ve blog yazıları

Dişlerinizdeki Hassasiyet, Ciddi Diş Problemlerinin Bir İşareti Olabilir.

Dişlerimizdeki hassasiyet, ağız içinde veya çevre dokularda bir sorun olduğunun işareti olabilir. Basit ya da ileri düzey bir diş çürüğümüz olabilir. Bazen diş çürükleri, dişlerin görünen yüzeylerinde yer alır; bazen ise dişlerin ara yüzlerinde bulunduğu için ağzımızı açtığımızda fark edilemez. Bu nedenle, bazen doktor kontrolüne ek olarak röntgen çekilmesi de gerekebilir.

İdeal Ağız Bakımı Nasıl Olmalıdır?

Günde iki kez dişlerinizi fırçalıyor olmanıza rağmen hâlâ çürükler oluşuyorsa ve ağız sağlığınız istediğiniz seviyede değilse, ağız bakımınızı yaparken bazı hatalar yapıyor olabilirsiniz. Aşağıdaki önerilerimizi uygularsanız sağlıklı bir ağız ve diş yapısına sahip olabilirsiniz. Günlük yaşamımızda birkaç önemli noktaya dikkat ederek dişlerimizin çürümesini önleyebiliriz.